Макровспышка Godox MF12-DK1 для дентальной фотографии, для Sony
Godox MF12-DK1 – специальный комплект для камер Sony состоит из 2 вспышек MF12, беспроводного управляющего блока XPro II S+ и аксессуаров. Эта комплексная система включает в себя все принадлежности, необходимые для стоматологической съемки, и, конечно, может использоваться и в других видах макросъемки: съемке насекомых, мелких предметов и так далее. Особенностью комплекта являются специально разработанные силиконовые диффузоры, обеспечивающие очень мягкий заполняющий свет с широким углом рассеивания. Отдельно можно приобрести кронштейн MF-DB, который устанавливается в штативное гнездо камеры и позволяет вынести вспышки подальше от объектива.
Подробнее:
Благодаря обширным исследованиям и постоянным доработкам, проведенным в сотрудничестве с европейским подразделением компании Sony, Godox с гордостью представляет MF12-DK1 – еще одно передовое решение для эстетической стоматологической фотографии. Эта комплексная система включает в себя все принадлежности, необходимые для стоматологической съемки, и представляет собой универсальное решение, позволяющее решить практически все возможные проблемы освещения в стоматологической фотографии.
Создано в эксклюзивном сотрудничестве с Sony Europe
В сотрудничестве с европейским подразделением компании Sony компания Godox разработала кольцевую вспышку MF-R76S+ и систему MF12-DK1, специально для стоматологической съемки. Обе вспышки легко сочетаются со всеми современными беззеркальными камерами Sony и прекрасно работают в паре с макрообъективом Sony FE 90mm f/2.8 Macro (SEL90M28G). Для стоматологов, которым требуется высокая точность настройки освещения, MF12-DK1 станет идеальным инструментом для раскрытия более широкого спектра возможностей и решения более сложных задач дентальной фотографии.
Специально разработанный стоматологический диффузор
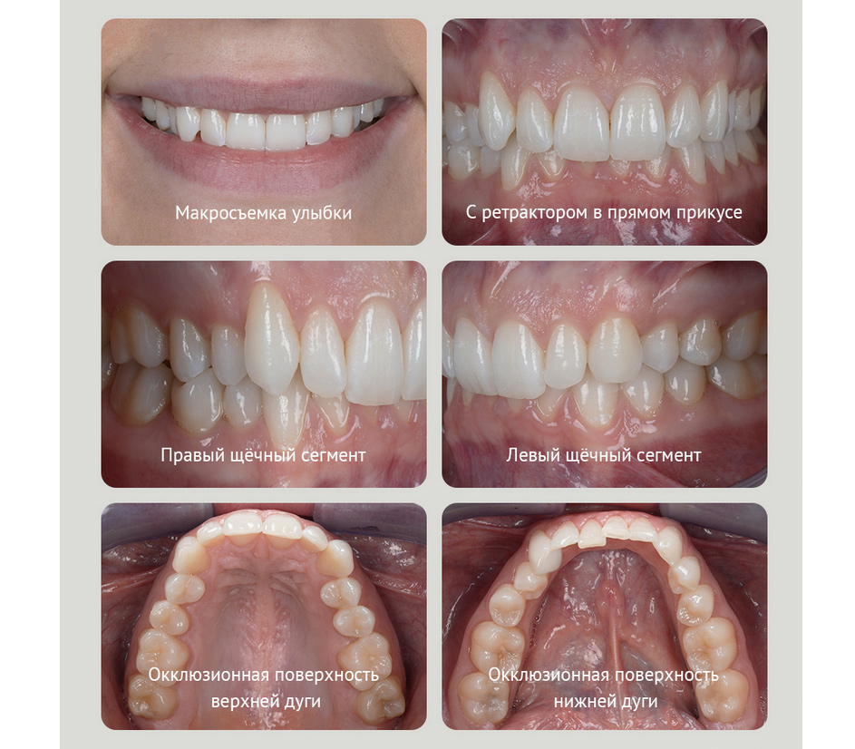
Диффузор подвергся тщательному тестированию и доработке на практике, чтобы соответствовать передовым стандартам профессиональной эстетической стоматологической фотографии. Данный диффузор помогает оптимально рассеивать свет, эффективно освещая труднодоступные участки при интраоральной фотографии (например, задние моляры). Цветовая температура также подобрана с учетом потребностей стоматологической фотографии, что обеспечивает более точные и эстетически привлекательные результаты съемки.
Адаптированный блок управления со стоматологическим режимом
Пульт-радиосинхронизатор XPro ll S+ разработан специально для стоматологической фотосъемки и совместим исключительно с камерами и объективами Sony. Он оснащен специальным режимом Dental Mode, который значительно оптимизирует рабочий процесс за счет быстрой корректировки настроек вспышки. Усовершенствованный режим Dental Mode обеспечивает более стабильную передачу сигнала, минимизирует ненужные помехи и обеспечивает более точные значения выходных параметров вспышки при макросъемке. XPro ll S+ также оснащен функцией активации моделирующего света одним касанием, что делает его невероятно эффективным для стоматологической съемки.
Точное воспроизведение цвета
Точная цветопередача и стабильная цветовая температура очень важны для стоматологов. В сочетании с камерами Sony, MF12-DK1 обеспечивает надежный и достоверный результат на протяжении всего процесса лечения.
Высокопроизводительная перезаряжаемая батарея
Благодаря мощному встроенному литиевому аккумулятору, рассчитанному на около 500 импульсов на полной мощности и быстрое время перезарядки (0,01-1,7 секунды), обеспечивается бесперебойная и длительная работа. Кроме того, благодаря популярному разъему USB Type-C зарядка аккумулятора не требует особых усилий.
Регулируемый кронштейн
Специально разработанный кронштейн MF-DB (приобретается отдельно), позволяет гибко и точно регулировать положение источников света, создавая тем самым дополнительные возможности для стоматологической съемки. Головка вспышки может поворачиваться на кронштейне на 180°, что позволяет расположить ее максимально близко к объективу и эффективно осветить область задних моляров.
Универсальный кейс для хранения
В кейс для хранения, отличающийся качеством и компактностью, легко помещаются все принадлежности, что обеспечивает чистоту и организованность хранения вашего комплекта для стоматологической фотосъемки MF12-DK1.
Совместимость с другими камерами
В ручном режиме Godox MF12-DK1 может работать с любыми камерами, оснащенными «горячим башмаком» стандартного размера или PC разъемом синхронизации. При этом будут доступны все функции, кроме режима Dental и TTL (авто) управления мощностью вспышек.
Комплектация
- Макроспышка MF12 - 2 шт.
- Стоматологический триггер для вспышки XPROIIS+
- Стоматологический диффузор MF-DB - 2 шт.
- Комплект переходных колец AR-R Kit ×1
- Подставка для вспышки - 2 шт.
- Монтажное кольцо MF-AR
- Адаптер с пятой для крепления «башмак» - 2 шт.
- Кабель USB Type-C - 2 шт.
- Кейс
Оплачивайте покупки удобным способом. В интернет-магазине доступно 3 варианта оплаты:
- Наличные при самовывозе из розничного магазина Foto-one.
- Безналичный расчет при самовывозе или оформлении в интернет-магазине: карты МИР, Visa и MasterCard. Чтобы оплатить покупку, система перенаправит Вас на сервер системы ASSIST. Здесь нужно ввести номер карты, срок действия и имя держателя.
- СБП (QR-код) при онлайн-заказе или при оплате в розничном магазине. Для совершения покупки система перенаправит Вас на страницу платежного сервиса ASSIST.
В интернет-магазине доступно 2 варианта получения заказа:
- Курьерская доставка работает с 9.00 до 18.00. Когда товар поступит на склад, курьерская служба свяжется для уточнения деталей. Специалист предложит выбрать удобное время доставки и уточнит адрес. Осмотрите упаковку на целостность и соответствие указанной комплектации.
- Самовывоз из магазина Foto-one. Когда заказ поступит на склад магазина, Вам придет уведомление. Для получения заказа обратитесь к сотруднику в кассовой зоне и назовите номер заказа.

